- 1.髄液と脳室の形について
- 2.水頭症の分類
- 3.水頭症の症状
- 4.水頭症の診断
- 5.水頭症の治療
- 6.正常圧水頭症―主として特発性正常圧水頭症
水頭症の基礎知識
脳は透明な水(髄液)に満たされた固い頭蓋骨の中に浮かんでいます。髄液は脳の表面を薄く覆うとともに、脳の中にある複雑な形をした部屋(脳室)に貯まっています。
髄液は脳の中で産生と吸収のバランスを保ち、髄液の圧は一定を保っていますが、産生と吸収のバランスが崩れたり、髄液の流れる通路が詰まると髄液が脳室内に貯まって髄液の圧が上昇します。髄液の圧が上昇して脳を圧迫することによってさまざまな症状を現す病気が水頭症です。髄液の圧が上昇しすぎると命を失ったり、様々な脳障害の原因となります。髄液の圧が正常である「正常圧水頭症」については、別に項を設けて説明します。
水頭症は、お母さんのお腹の中にいる時(胎児性水頭症)から高齢者まで、あらゆる年代に生じます。また、水頭症は単一の疾患というよりは異なる原因やメカニズムによって生じる状態(病態)であるため、さまざまな分類があります。
1.髄液と脳室の形について
(1)髄液
髄液(脳脊髄液)は少量の糖、たんぱく、電解質(ナトリウムなど)を含む無色透明な液体であり、脳と脊髄はその中に浮かんでいます。脳室にある脈絡叢(みゃくらくそう)という特殊な血管から産生されて、側脳室、モンロー孔、第3脳室、中脳水道、第4脳室を流れて、第4脳室からの出口であるルシュカ孔、マジャンディー孔から脳表のくも膜下腔まで流れ出します。最終的には脳表の静脈系に吸収されると考えられています。
一方、脳の中の毛細血管からしみ出した脳間質液と髄液の交通や、脳動静脈周囲の空間を介して排出される経路やリンパ系へ吸収される経路も示唆されており、髄液の産生・循環・吸収についての研究が進められています。
成人では脳室内とくも膜下腔の髄液の総量は約150mlであり、一日に500mlほどの髄液が産生・吸収されています。おおむね1日に3回ほど入れ替わる計算になります。髄液は、脳から不要な物質を運び出す役割や、脳を衝撃から守るクッションのような働きをすると考えられています。感染(髄膜炎)すると、タンパクや白血球などの細胞が増えて白く濁ります。
(2)脳室の形
脳室は左右対称の複雑な形をした4つの部屋からできています(図1,2)。側脳室は左右1対でありそれぞれ左右の大脳半球の中に存在する最も大きな部屋です。第3脳室は脳の真ん中に存在して側脳室と第4脳室を連絡します。第4脳室は小脳の中で脳幹の背側に存在します。「モンロー孔」は左右の側脳室と第3脳室を交通する窓であり、第3脳室と第4脳室を結ぶ「中脳水道」という細い交通路とともに、腫瘍や炎症などで詰まりやすい部分です。
2.水頭症の分類
分類1:先天性水頭症と後天性水頭症
原因や将来の予測に関わる分類です。
(1)先天性水頭症
先天性水頭症は、水頭症の中でも胎児期にはじまり胎児期に診断された水頭症、および胎児期にはじまり出生後早期に診断された水頭症です。この中には二分頭蓋・脊髄髄膜瘤・全前脳胞症など他の先天性疾患・症候群に伴ったものと、明らかな原因が不明な水頭症(遺伝性水頭症・水無脳症・6q deletion症候群などの染色体異常に伴うものなど)を含んでいます(小児慢性特定疾病情報センターHP)。
先天性の水頭症の多くは、中脳水道(後で説明)で髄液の流れが悪くなって生じます。
先天性水頭症の中でも脊髄髄膜瘤(せきずいずいまくりゅう)に伴うものは、脊髄形成不全のほかにもキアリII型奇形という小脳の異常や脳の異常を合併するなど特徴的な症状を示すため、独立して「脊髄髄膜瘤に伴う水頭症」と分類されることもあります。
「遺伝的あるいは脳形成不全に伴う水頭症」という呼び方もあります。全前脳胞症やダンディー・ウオーカー症候群のように脳自体の形成に異常があるものを指します。脳形成不全が必ずしも重い障害を意味するわけではありません。障害の程度については、成長の過程で慎重に評価していかなければなりません。
先天性水頭症は、国が定めた小児慢性特定疾病の一つ(85番)に指定されているので、児童福祉法に基づく医療費助成の対象になります。
先天性水頭症 概要 - 小児慢性特定疾病情報センター (shouman.jp)
児童福祉法(根拠法) - 小児慢性特定疾病情報センター (shouman.jp)
(2)後天性水頭症
脳腫瘍、くも膜下出血、髄膜炎、頭部外傷など、生まれた後の疾患に伴って生じる水頭症を後天性水頭症と呼びます。赤ちゃんから高齢者まであらゆる年齢に生じます。脳腫瘍のような場合は、原因となる脳腫瘍を取り除くことで水頭症は治ります。
分類2:交通性水頭症と非交通性水頭症
治療法の選択に関わる分類です。
(1)交通性水頭症
脳室間の髄液の交通は保たれているものの、髄液の吸収が障害されて発生する水頭症が交通性水頭症です。髄膜炎やくも膜下出血によってくも膜下腔が癒着して詰まってしまうために生じます。あるいは、髄液が過剰に産生されるために生じる交通性水頭症(例えば脈絡叢乳頭腫という脳腫瘍由来)もあります。
交通性水頭症の中でも、髄液圧が正常であり特徴的な症状を示す「正常圧水頭症」は、独立して扱われるのが一般的です。
(2)非交通性水頭症
脳室の一部が狭くなったり詰まってしまうために、髄液の流れが悪くなって発生する水頭症が非交通性(閉塞性)水頭症です。たとえば、小脳にできた脳腫瘍が細い中脳水道を圧迫するために生じます。
非交通性水頭症は、髄液の流れを妨げる原因(例えば脳腫瘍)を除いたり、流れが妨げられている部分をバイパスするような手術(内視鏡手術)で治療することが出来ます。一方、交通性水頭症は、髄液を脳以外の場所(例えば腹腔)に導いて吸収させる髄液短絡術(シャント手術)が治療の主体になります(詳しくは治療の項)。
3.水頭症の症状
年齢や水頭症の原因疾患によって、そしてその進行の程度によって症状は異なります。基本は、髄液が貯まりすぎるために脳室が拡大し、髄液の圧が上昇して脳組織を圧迫するために症状が出ます。頭蓋縫合が閉じていない新生児や乳幼児では、大仙門が張ったり、頭が大きくなる頭位拡大が特徴的な症状です。髄液圧が急速に上昇すると、年齢に関わらず頭痛、嘔吐、意識障害の三つが特徴的な症状です。
髄液圧の上昇が軽度であったり、ゆっくりとしている場合の症状は様々であり、学童期では学校の成績が低下したり、視力が低下したり、痙攣を起こしたりすることがあります。高齢者で髄液圧が上昇しないタイプの水頭症、正常圧水頭症では、認知症ようのような症状、歩行障害、尿失禁の3つが特徴的な症状になります。
適切な治療を受けない場合、障害が残ったり、死に至ることもあります。
(1)年齢を問わずに髄液の圧が高くなることによる症状(髄液圧亢進症状)
- ① 頭痛
- ② 嘔吐
- ③ 意識障害
- ④ けいれん
- ⑤ 視力低下・失明:高い髄液圧が長く続くと視神経が障害されて失明することがあります。
(2)新生児、乳児期に特有の症状
- ① 頭囲拡大:乳幼児期は頭蓋の縫合が閉じていないため(頭蓋が柔らかいため)髄液の圧が上昇すると頭全体が大きくなります(頭囲拡大)。
- ② 落陽現象:黒目が下方によって日が沈むように見える症状です。
- ③ 大泉門膨隆:赤ちゃんでは大泉門が固くなり膨隆します。
- ④ 頭皮静脈怒張:頭の皮膚の静脈が浮き上がって目立つ症状です。
- ⑤ 意識障害
- ⑥ 甲高い鳴き声
(3)正常圧水頭症の症状(正常圧水頭症の項で詳しく説明します)
三主徴(主な症状)を示します。
- ① 認知症のような症状
- ② 歩行障害
- ③ 排尿障害(尿失禁)
4.水頭症の診断
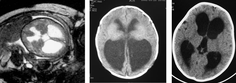
水頭症の診断、そして治療が必要であるかどうかの判断は、脳神経外科医の診察を受ける必要があります(乳幼児の場合は小児脳神経外医)。検査は神経学的な診察に加えてCT scanやMRIを撮影して、脳室拡大の程度や原因となる病気の有無を調べます。MRIもCT scanも痛みを伴いませんが、小さなお子さんでは検査中に動かないように鎮静薬(甘い飲み薬)を飲んでいただくことがあります。
(1)CTスキャン
CTスキャンで脳室拡大を認めることが水頭症の診断の第1ステップになります。得られる情報量の多さと検査の受けやすさを考えると第1選択の検査法になります。
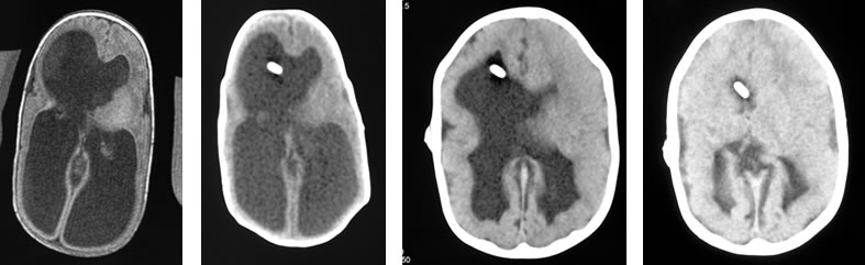
左:胎児MRIで診断された水頭症
中:脊髄髄膜瘤に伴う水頭症
右:中脳水道閉塞による水頭症
(2)MRI(磁気共鳴画像診断)
水頭症に伴う脳形成不全の診断や水頭症の原因となる脳腫瘍などの診断に用います。
CTスキャンより圧倒的に情報量が多いので、治療前にMRIを撮影することが一般的です。一方、8歳未満の小児では鎮静を要することが多いという欠点があり、バランスをよく考えて選択される検査法です。
(3)超音波(音波断層法)
胎児や新生児から乳児期早期はエコー検査により脳室の大きさや脳の形状を判断することができます。超音波検査で脳室拡大を認めた場合にはCTスキャン、MRIで精査します。胎児性水頭症は超音波検査により妊娠18週から20週ごろから可能になってきていますが、確実な診断にはMRI検査を必要とします。
(4)小児のMRI検査と鎮静
通常のMRI検査は30分程度、必要に応じてもっと長い時間を要することもあります。小さな子どもたちにとって身体を全く動かさない状態を保つことは困難なため鎮静薬を使用することが一般的です。鎮静薬の使用は十分な安全管理下に行われる必要があり、検査前の十分な説明と同意、検査中の十分なモニターと緊急時のバックアップ体制、検査後の観察体制などが整った施設で検査を受けることをお勧めいたします。
検査前によく説明を聞いて理解し、検査後の観察や注意事項を理解できるまで聞くことが大切です。検査前の経口摂取や飲水制限を守らなかったために検査が延期になることもあります。うまく眠らない時の鎮静薬の追加には特に慎重を要するので、無理をせず医師の指示に従ってください。
- ① 自然睡眠:乳幼児では前日の夜にできるだけ眠る時間を短くしたうえで、検査当日も検査開始まで眠らせないようにしておくことで、自然に眠っている間に撮影します。
- ② 経口鎮静薬:トリクロリールシロップのような甘い鎮静剤で自然に眠らせることができます。
- ③ 経静脈鎮静薬:経口鎮静剤で十分な鎮静が得られない場合には、それ以上の鎮静に伴うリスクとMRIによって得られる情報の必要性とのバランスを考えて検査を行うかどうか判断します。静脈鎮静薬を使用する場合には、十分な安全管理の下に行います。
5.水頭症の治療
水頭症は古くはギリシアのヒポクラテスの時代(紀元前)から知られており、髄液を排除する治療が試みられたとの記録がありますが、結果は惨憺たるものでした。医学の長い歴史の上でも水頭症の治療は困難なものの一つであり、20世紀になり清潔な手術法、抗生物質、髄液シャント手術に適した材料シリコンなどが揃う1940年代頃まで良好な治療成績を得ることはできませんでした。1950年代から髄液シャント手術が標準的な治療法となり、1970年代に発明されたCTスキャンによる診断能力の向上が水頭症の治療に大きく貢献しました。髄液シャント手術に加えて神経内視鏡による治療も発展しており、それぞれの患者さんに一番良い手術法を選択することが重要な時代になりました。
現在、水頭症の治療方法には、髄液シャント手術と神経内視鏡手術があります。髄液シャント手術は非交通性水頭症と交通性水頭症のいずれにも用いられる、汎用性のある治療法といえます。一方、内視鏡手術は基本的に非交通性水頭症の治療に用いられます。髄液シャント手術と内視鏡手術の正確な割合は知られていませんが、内視鏡手術はおおむね10-25%というデータもあり、水頭症の多くは髄液シャント手術で治療されています。
- 1. 髄液短絡術(シャント手術):V-Pシャント V-Aシャント L-Pシャント
水頭症の最も一般的な治療は髄液シャント手術(脳脊髄液短絡術)です。これは、脳室から人工的に短絡路(バイパス、シャント)を作って髄液を脳以外の体の中*、例えば腹腔や心房で吸収させる手術です。短絡路には皮膚の下を通る細いシリコンの管(シャントチューブ)を用います。髄液を吸収させる場所によって、①脳室―腹腔シャント(V-Pシャント)、②脳室―心房シャント(V-Aシャント)、③ 腰椎くも膜下腔―腹腔シャント手術(L-Pシャント)の3種類に大別されます。
V-Pシャントが最も一般的であり、腹部の手術後の癒着などで腹腔が使えない時にV-Aシャントが選択されます。L-Pシャントは正常圧水頭症で採用されることがあります。
(1)(頭蓋・脊髄腔)、腹腔、胸腔について少し詳しい知識
人間の体の中には様々な臓器を入れる広い空間があり、それを「腔」と呼びます。
脳と脊髄を入れている頭蓋骨と脊椎に囲まれた「腔」を頭蓋・脊髄腔と呼びます。頭蓋・脊髄腔は髄液に満たされた一つの連続する腔なので「髄液腔」とも呼びます。肺を入れているのが「胸腔」であり、胃・腸や肝臓などを入れているのが「腹腔」です。
腹腔は胸腔より大きく、肺の表面積に比べて胃や腸、肝臓などの表面積が大きいために多くの髄液を吸収することができます。髄液の吸収能が大きいこと、感染に強いことから髄液の短絡先に腹腔を選ぶことが一番多いといえます。
髄液は最終的に血液に吸収されるので、静脈から心臓に戻る血液が集まる「心房」に流すことは理にかなっていますが、感染すると敗血症になってしまうという弱点があるため、腹腔が使えないときに選択します。
髄液腔は脳と脊髄で連続しているため、腰から髄液を採取することができます(腰椎穿刺といいます)。このような構造を利用して、脳を避けて腰から腹腔に髄液をバイパスすることができます。これをL-Pシャントと呼びます。
(2)手術の方法
脳室に設置する脳室チューブと、皮膚の下を通って腹腔(あるいは心房)まで通す腹腔チューブ、髄液の流れを調整するバルブの3つの部分をまとめて「シャントシステム」と呼びます。そしてシャントシステムを埋め込む手術を「シャント手術」といいます。
シャント手術自体は、比較的短い時間で行うことのできる手術であり、大きな危険を伴うものではありませんが、自分の体と異なるシャントシステムを体内に設置するため感染に弱いという欠点があります。感染した場合には手術によって取り除いて、抗生物質を使って感染が治った後に、もう一度シャント手術をやり直します(再建術)。チューブが詰まったり、切れたり、バルブが壊れた時にも、同様に取り替えや修復が必要です。
(3)シャントシステム
シャントシステムは、どの種類のものを、脳圧が正常に保たれるよう、髄液が一定圧以上になると流れるように設計されています。チューブはシリコン素材で、柔軟性に富んでいるので、体内で組織を傷つける事はほとんどありません。そして、チューブの一部(頭蓋骨の表面、耳の後方や前頭部)に、髄液の流れを調整するバルブを設置します。バルブは軽くて強い合成樹脂やチタンなどの金属が用いられます。バルブ自体は小さいものですから、頭髪などで外側から分かりにくくなります。バルブには、いろいろな形や種類があり、それぞれに特徴があります。主治医が患者さんの症状などに応じて選びます。ご自分に使われているシャントシステムの特徴を理解し、その記録を保管しておくことが大切です。
- ① シャントバルブのいろいろ
バルブは大きく分けて圧固定式と圧可変式があります。
圧固定式は髄液の流れを調整するための「弁」の圧が一定の幅を持った状態で固定されています(高圧、中圧、低圧など)。圧可変式は皮膚を介して体外から様々な設定圧に変えられるバルブを持ったシャントシステムです。圧の変更には磁石を使います。手術をせずに体外から特別な器具を使って患者さんに適合した圧設定に変えることができるため、最近では多く使われています。圧可変式バルブのほとんどは、外から磁気によって圧を設定できるようになっているため、日常生活において遭遇すると思われる磁場によっても設定圧が変化することがあります。ただし、磁気の影響を受ける部分はバルブのみでチューブには影響しません。一般的に、バルブから5センチメートル以内に磁気器具を近づけないようにすることが目安になっています。最近は圧変更時以外には体外の磁場の影響を受けない圧可変式バルブも使用されるようになっています。
立ち上がったときに髄液が流すぎる現象(サイフォン効果)を防ぐ目的で使用する、サイフォンコントロールデバイスもあります。押さえて髄液を流したり針で刺して髄液を採取できたりできる膨らんだ部分(レザボア/リザーバーが)が付いたものもあります。 - ② 磁場の影響を受けない圧可変式バルブ
現在使われている圧可変式バルブは圧固定式に比べて優れた点も多くありますが、一方では患者さんの日常生活に制約を与えています。磁気を使った医療機器やMRI等で検査を受けた場合、バルブの設定圧が変化することがあり、圧設定をやり直さなければなりません。MRI検査後には、バルブの種類によってはX線写真で圧を確認したり、特殊な専用器具で設定圧を確認したりする必要があります。特にMRIの磁気は強いため、影響を受けやすいので注意しなければなりません。磁気の問題を解決するために、磁気の影響受けにくいロック機構のついた圧可変バルブも考案されていますが、そのメカニズムは様々であるため、使用されているバルブの種類と特性を知ることが大切になっています。
シャント手術を受けた時期によって、様々な種類のバルブが混在しているのが現状です。まずご自分のバルブがどのような種類のもので、いつ手術を受けたか、圧の設定値がいくらであるのかを把握しておくことが大切です。通常は手術後に必要な情報が記入された手帳のようなものが手渡されますので大事に保存して、受診時に見せてください。
(4)シャント合併症
- ① 感染(緊急性がある)
最も気をつけなければならない合併症の一つです。
急性の感染:
発熱、頭痛、意識障害などで発症する髄膜炎が最大の問題です。多くはシャント手術にひきつづいて引き続いて発症します。術後1週間以内の早い時期に症状が明らかになる場合や退院して1ヶ月ほどたってから症状が出る場合もあります。手術創部が赤くなって熱を持つこともあります。髄液は腹腔に導かれているため、腹膜炎を伴って腹痛などの腹膜炎症状が出ることもあります。
いったんシャントを抜去して、髄液を体外に流し出す髄液ドレナージの処置と抗生物質の投与で感染を治した後に、シャント再建を行います。
慢性の感染:
弱い菌による感染の場合、発熱などのはっきりした髄膜炎の症状を出さずに、繰り返すシャント閉塞や腹腔内の嚢胞形成(腹腔チューブの周囲に風船のような髄液の貯留)を認めることがあります。菌の強さと人体の抵抗力のバランスの上に成り立っている症状であり、通常はシャントの抜去と感染の治療の後に新しいシャントシステムに入れ替えるシャント再建を行います。腹腔内嚢胞は手術によって摘出後に抗生剤によって感染を治し、新しいシャントシステムに入れ替えます。
- ② シャント機能不全(緊急性がある)
一度シャント手術をすると生涯大丈夫かと言えば、残念ながらそうではありません。髄液の流れがうまく調整できない状態をシャント機能不全と呼びます。その原因はいろいろで髄液の流れが不十分だったり、全く流れなくなったり、流れたり流れなかったりを繰り返す場合など様々です。機能不全が起こると、水頭症の症状が再び現れます。症状の程度や進行は機能不全の状態や原因によって異なります。{いつもと何か違う}という直感が大切です。思い当たる症状があるときはなるべく早く脳神経外科医を受診してください。診断が遅れると生命に関わることもあるので、特に気をつけなければならない状態であり、診断後すぐに緊急でシャント再建術を行うことが一般的です。
- ③ 設定圧が変わったために起こる症状
磁気の影響で圧設定が高くなってしまった場合、髄液流れにくくなり設定圧まで髄液圧が上昇します。頭痛や嘔吐、意識障害などの髄液圧が高くなった症状や、その他の水頭症の症状が現れます。
圧設定が低くなった場合には髄液が流れすぎるため、髄液圧が低くなった症状(頭痛やものが二重に見える複視など)が現れます。一番危険な合併症は、脳と頭蓋骨の間に血液が溜まる硬膜下血腫です。
(5)成長してシャントのチューブが短くなった時
背が伸びると、赤ちゃんの時に入れたシャントチューブが相対的に短くなって、腹腔まで届かなくなります。レントゲン検査でチューブの長さを定期的に確認します。短ければ、チューブを入れ替えます。主治医の先生が取り替えを勧められときには、よく説明を聞いて判断する必要があります。
脳室チューブが脳内や脳室内で癒着していれば、そのままにして別ルートで新しいシャントを設置することもあります。無理に引き抜くことによる出血を避けるためです。
(6)シャント後の脳の変化
赤ちゃんの脳はすばらしい回復力(元に戻る力、可塑性)を持っています。生まれたときに脳の中に水が貯まって脳室が大きくなっていても、シャント手術により脳が発達してその厚みを取り戻すこともまれではありません。一方、シャント手術までの期間や、シャント手術の年齢によっては脳室が縮小しないこともあるので、評価には慎重な神経学的検査や発達検査が必要です。
B:5ヶ月には、徐々に脳の厚みが増しています。白い点はシャントチューブ先端です
C:1才2ヶ月には脳の厚みがまして脳室は縮小してきています
D:2才にはさらに脳の厚みが増して脳室は縮小しています(スリット状脳室)
*細隙脳室(スリット状脳室)
シャント手術後に脳室が縮小しますが、髄液が流れ出てしまって脳室の大きさが正常より小さくなり、CTでは脳室の髄液が描出されないスリット状になることがあります。
脳室が小さくなりすぎると、脳室チューブの先端が詰まって髄液が流れにくくなることがあるので注意を要します。また、脳室がスリット状になるためにシャンと機能不全の症状を繰り返す「スリット状脳室症候群」という複雑な病態があります。
2. 内視鏡による治療
(1)対象となる水頭症
内視鏡手術は基本的に非交通性水頭症の治療に限って用いられることから、内視鏡手術が適した対象を選ぶこと(適応)が一番大切です。中脳水道閉塞による水頭症が最も内視鏡手術(標準的な第3脳室底開窓術)に適した水頭症です。脳室内のその他の部位が閉塞している水頭症にも内視鏡が適用されますが、閉塞部位や脳室の形によって治療部位の慎重な選択が必要になります。
一方、髄膜炎後水頭症など効果が期待しにくい病態があります。
(2)手術の方法
内視鏡手術は、頭蓋骨に作成した小さな穴から細い内視鏡を脳室まで挿入して、第3脳室の底に穴を開ける第3脳室開窓術(Endoscopic Third Ventriculostomy, ETV)が一般的です。内視鏡は柔軟な軟性強(ファイバースコープ)と硬性鏡の2種類があり、それぞれ特徴によって使い分けられます。
第1段階:
前頭部で頭髪に隠れる部位に半円形の小さな皮膚切開を加えて、頭蓋骨に穴を開けます。そこから細い管を脳室に通して髄液の流出を確認します。
第2段階:
同じルートに内視鏡を挿入して脳室に達します。側脳室からモンロー孔を経て第3脳室に入り、第3脳室の底を確認したのち、薄い第3脳室底に穴を開けます。
第3段階:
第3脳室底に開けた窓から、脳底部のくも膜下腔を観察して髄液がよく流出していることが確認できればそれで終了します。一方、脳底部のくも膜下腔に膜状の構造がある場合には、それを剥離して脳底動脈周囲を確認できるようにする必要があると考えられています。その場合、単に第3脳室底に穴を開ける手術に比して、手術難度とリスクが高くなります。一般にこの二つの操作を一連のものとして第3脳室底開窓術と呼びます。
(3)内視鏡手術の利点と欠点
シャント手術のように異物を体内に留置することがないため、感染の恐れが少ないという利点があります。一度の手術で完治する可能性があるので、大切な治療の選択肢です。
一方、頻度は低いものの出血のリスクは避けられません。また、水頭症の原因によって治療効果が異なります。ある月齢(6ヶ月)までの赤ちゃんでは有効率が下がります。内視鏡手術の後に穴を開けた部分が癒着して水頭症の症状が再発することも一定数あります。いったん治ったように見えたものが、長い時間を経て再発する場合には生命に関わることもあるので、油断はできません。長期にわたる経過観察が必要なことはシャント手術と変わりません。
内視鏡手術によってほんとうに改善するのか、手術に伴う危険がどの程度であるかについて高度な判断と手術技術が求められます。シャント手術と内視鏡手術のバランスのとれた選択が鍵になります。
Neuroinfo Japan:小児水頭症 (umin.ac.jp) 脳神経外科疾患情報ページ(日本脳神経外科学会)
6.正常圧水頭症―主として特発性正常圧水頭症
髄液が貯まって脳室が大きくなっているのに髄液圧が高くない水頭症、すなわち「正常圧水頭症, Normal Pressure Hydrocephalus(NPH)」と言う病気があります。成人、特に高齢者に認められることが多く、①認知機能の障害、②尿失禁、③歩行障害の3つの症状を特徴とします。シャント手術によって歩行障害を中心に症状の改善が得られるため、高齢化に伴う要介護の原因のうち手術により改善が期待される疾患として注目されています。
正常圧水頭症にはくも膜下出血や頭部外傷など原因となる病気が明らかである「続発性正常圧水頭症」と、原因が明らかではない「特発性正常圧水頭症, Idiopathic Normal Pressure Hydrocephalus, iNPH」」があります。続発性正常圧水頭症は原疾患にともなって発症することから診断がつきやすく、シャント手術により症状が改善しやすいことが特徴です。
「特発性正常圧水頭症, iNPH」の特徴
「特発性, idiopathic」は原因不明という意味の医学用語です。特発性正常圧水頭症は、くも膜下出血や髄膜炎などの疾患がなく、歩行障害を主体として認知障害、尿失禁をきたす、脳脊髄液吸収障害に起因した病態です。高齢者に多くみられ、ゆっくり進行し、適切なシャント手術によって症状が改善する可能性があります。アルツハイマー病などの神経変性疾患、脳血管性認知症と症状が重なることがあるため、これらの疾患との鑑別が重要な課題となっています。
厚生労働省の研究班(1981~)による研究や、「日本正常圧水頭症学会(2000~)」という専門の学会があるように、他の水頭症と独立して取り上げられます。2020年には「特発性正常圧水頭症―診療ガイドライン、第3版」(以下ガイドラインと略)が発刊されています。
(1)発生頻度:
iNPHは加齢に伴い増加し、日本国内での有病率は0.2~2.9%、罹患率は年間およそ10万人あたり120人と推定されており、老年疾患の中では比較的頻度の高い疾患です。
一方、認知症という視点から見ると、アルツハイマー型認知症が最多で(66. 2%),血管性認知症 19. 6%,レビー小体型認知症と認知症を伴うパーキンソン病 6. 2%の順であり、正常圧水頭症はその他の原因5%の中に含まれる少数派です。多数のアルツハイマー型や血管性の認知症の中に埋もれるiNPHを正確に見つけ出すことは必ずしも容易ではありません。
(2)発症年齢:
ガイドラインではiNPHの発症年齢を60歳以上としていますが、実際には70-80歳代がほとんどであり、加齢が明らかな危険因子なっています。
(3)特徴的な3つの症状(三主徴)
①認知機能の低下
②尿失禁
③歩行障害
最も頻度の高い症状である歩行障害は、振戦(手の震え)を伴わないやや脚を広げた小刻みのすり足歩行であり、とくに方向変換時にふらつきが強くなるのが特徴です。パーキンソン病の歩行と似ているところもありますが、パーキンソン病で見られる手拍子のような外的刺激による歩行の改善は認めません。
2025年には我が国の65歳以上の人口の約6人に1人が認知症を発症するとされています。70代の後半では男性12%・女性14%、80代後半になると男性35%・女性44%、90代の後半ともなると、男性の51%・女性の84%に認知症を発症するとされています。
認知症の中でもっとも多い割合(約67.6%)を占めるのがアルツハイマー型認知症です。特発性正常圧水頭症の症状は、アルツハイマー病のような人格の変化や人物誤認といった高度の症状ではなく、物忘れや注意力の低下、無気力・無関心といった覚醒レベルの低下によるものと考えられています。
尿失禁は、通常、直接生命にかかわることはありませんが、生活の質(QOL: Quality of Life) を損なうため、精神的な苦痛や日常生活での活動性低下をもたらします。特発性正常圧水頭症で尿失禁を来すことがありますが、失禁の原因にはいろいろありますので、他の原因疾患との見極めが大切です。泌尿器科をはじめ関係する専門家の評価を受けます。
(4)診断法
①神経学的評価
②画像診断:CTスキャン、MRI
③髄液排除試験(タップテスト)
歩行機能、認知機能を含む詳しい神経学的な評価とCTスキャンやMRIなどの画像診断による脳室拡大の程度、脳萎縮の有無や分布、合併する脳血管障害の有無などの評価を経て、iNPHの可能性があると判断します。この過程で、アルツハイマー病やパーキンソン病、脳血管障害などの疾患との鑑別を十分に行います。
次に、髄液シャント術により改善する可能性があるかどうか(手術適応)の評価のためタップテスト(脳脊髄液排除試験)を行います。タップテストで改善を認めた場合、全身状態(糖尿病や脳血管障害などの病気にかかっていないか)、麻酔に伴う危険はないか、日常生活の自立度などを詳しく評価して、手術により期待される改善の度合いと手術にともなう危険のバランスを総合的に判断します。
髄液排除試験(タップテスト)*
腰に細い針を刺して30mL程の脳脊髄液をゆっくりと排除し、その結果症状が一時的に改善するかどうかを見る検査です。早い人では髄液を抜いて1時間後に歩きやすくなることもあります。検査の翌日に歩きやすくなったり言葉の数が増えることもあります。歩行障害が軽減したなど改善が見られた場合は、手術による改善が期待できます。
特徴的な画像所見(DESH**)
三主徴のいずれかの症状があり、脳室拡大に加えて、MRI冠状断面で評価した高位円蓋部(頭頂部)に髄液腔の縮小があり、それとは対照的に脳底部の髄液腔が拡大しているのが特徴(Disproportionately Enlarged Subarachnoid-space Hydrocephalus:DESH)といわれています。
(5)治療法
有効な薬はないので、シャント術を行います。脳室―腹腔短絡術(V-Pシャントと腰部くも膜下腔―腹腔短絡術(L-Pシャント)の二つの手術法が一般的です。脳神経外科の手術としてはよく行われる手術であり、2時間程度の手術時間を要します。術後は評価も含めて1-2週間の入院を要するのが一般的です。圧調整バルブを使用して、髄液の流れすぎを予防するなど精密な管理を行うことが望ましいと考えられています。
脳神経外科の手術のなかでは比較的短時間の手術であり、致命的な合併症は少ない手術といえますが、人間の体にとって異物であるシャントシステムを留置するため様々な合併症が生じることがあります(後述)。高齢者の手術であり、糖尿病、高血圧、脳梗塞や心臓病などの合併する病気も多く、慎重に手術適応を決めます。
(6)術後の管理
術後も定期的な経過観察とシャント機能の評価が必要です。歩行障害が一番早く改善し、約80%以上で有効とされています。尿失禁も約50%で有効とされています。認知症症状の改善には時間を要し、1年後で30ー50%に有効とされています。いったん良くなった症状が再び悪化する例では、シャントが適切に働いているかどうか(シャント機能不全)の評価が必要になります。
